HOME
TEAM
LEISTUNGEN & PREISE
Leistungen
Preise
VERMISSTE & GEFUNDENE TIERE
INFOS
Hunde-Infos
Katzen-Infos
Heimtier-Infos
Tierschutz-Infos
Katzen Chip Aktion November
ÖFFNUNGSZEITEN
LINKS
KONTAKT
HOME
TEAM
LEISTUNGEN & PREISE
Leistungen
Preise
VERMISSTE & GEFUNDENE TIERE
INFOS
Hunde-Infos
Katzen-Infos
Heimtier-Infos
Tierschutz-Infos
Katzen Chip Aktion November
ÖFFNUNGSZEITEN
LINKS
KONTAKT
LEISTUNGEN & PREISE
Leistungen
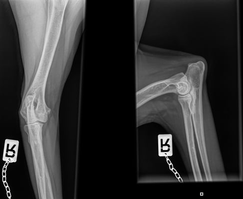
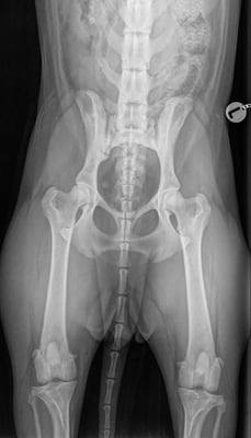
Lahmheitsuntersuchungen
Untersuchung und Abklärung von Lahmheiten
digitale Röntgenuntersuchung in der Praxis
Erstellen von HD und ED Röntgen für die offizielle Auswertung
Beratung
Schmerzmanagement
bei chronischen Lahmheiten oder Arthrose